
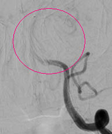
红圈内血管完全闭塞

红圈内所示为经动脉接触溶栓后,血管再通。
7月21日上午,在我院神经外科医护人员的团结协作下,成功完成一例急性脑梗塞介入动脉溶栓手术,该项手术的成功开展,使我院急性溶栓技术达到了新的高度,为全市人民带来福音。
患者张大妈,今年77岁,因“晨起洗脸时突发昏迷1个小时”急诊送入我院,行头颅CT示:排除脑出血、脑梗塞可能。神经外一科9:40接急诊内科紧急会诊通知,王和平医生9:45赶到急诊内科,在了解了病人的一般情况后,考虑患者来院比较及时,还在动脉溶栓时间窗内,遂急诊介入行全脑血管造影,明确为基底动脉完全闭塞(此病致死率高达90%),继而予尿激酶行基底动脉内接触溶栓!之后行造影明确,基底动脉通畅、显影(造影图片见后)!当天下午,患者神志基本清醒,竟然向医生提出要求:要求回家给儿孙做饭。
急性脑梗塞,超早期(起病3小时内)的静脉溶栓治疗是传统的药物治疗,称为“黄金三小时”。但绝大多数患者在该时间段内来不到医院,或是到了医院还来不及明确诊断。但动脉溶栓可将该时间段延长至6-8小时(前循环),后循环血管闭塞甚至可延长到24小时。并且,动脉溶栓目的性更强(直接将溶栓药物灌注在血栓上),全身副反应更小,效果更好。这样就为本类患者的救治提供了机会!
随着2012年我院成为国家卫计委的脑卒中筛查与防治基地,我院对脑卒中的诊断与治疗水平有了进一步的提高。尤其是2013年新型飞利浦数字血管减影机投入临床使用,神经外一科的脑血管介入治疗水平又有了质的飞跃。目前神经外一科常年开展的脑血管病业务有:脑动脉、颈动脉狭窄支架成形术、脑动静脉畸形栓塞术、脑动脉瘤栓塞术、颈内动脉-海绵窦瘘球囊封堵术、急性脑梗塞动脉溶栓术、急性脑梗塞动脉取栓术。
脑卒中防治知识链接:脑卒中非常凶险,像斯大林、丘吉尔这样的名人就是死于脑卒中。如今脑卒中成为了我国人民群众生命健康的“第一杀手”,引起了我国患者与医生的关注。脑卒中即人们常说的“中风”,是严重威胁人类生命健康的常见病。其特点是突然起病,出现脑部功能受损的症状。病人出现肢体瘫痪、感觉异常、语言障碍甚至昏迷、死亡,其致残率和死亡率都非常高。
脑卒中分为两大类:一是脑血管破裂出血,通常称为“脑溢血”,如高血压脑出血、蛛网膜下腔出血等;另一类为血管闭塞导致脑缺血、脑组织坏死,即通常所说的“脑梗塞”。目前脑梗死是我国最常见的卒中类型,占70%以上。(王和平)

红圈内血管完全闭塞

红圈内所示为经动脉接触溶栓后,血管再通。
7月21日上午,在我院神经外科医护人员的团结协作下,成功完成一例急性脑梗塞介入动脉溶栓手术,该项手术的成功开展,使我院急性溶栓技术达到了新的高度,为全市人民带来福音。
患者张大妈,今年77岁,因“晨起洗脸时突发昏迷1个小时”急诊送入我院,行头颅CT示:排除脑出血、脑梗塞可能。神经外一科9:40接急诊内科紧急会诊通知,王和平医生9:45赶到急诊内科,在了解了病人的一般情况后,考虑患者来院比较及时,还在动脉溶栓时间窗内,遂急诊介入行全脑血管造影,明确为基底动脉完全闭塞(此病致死率高达90%),继而予尿激酶行基底动脉内接触溶栓!之后行造影明确,基底动脉通畅、显影(造影图片见后)!当天下午,患者神志基本清醒,竟然向医生提出要求:要求回家给儿孙做饭。
急性脑梗塞,超早期(起病3小时内)的静脉溶栓治疗是传统的药物治疗,称为“黄金三小时”。但绝大多数患者在该时间段内来不到医院,或是到了医院还来不及明确诊断。但动脉溶栓可将该时间段延长至6-8小时(前循环),后循环血管闭塞甚至可延长到24小时。并且,动脉溶栓目的性更强(直接将溶栓药物灌注在血栓上),全身副反应更小,效果更好。这样就为本类患者的救治提供了机会!
随着2012年我院成为国家卫计委的脑卒中筛查与防治基地,我院对脑卒中的诊断与治疗水平有了进一步的提高。尤其是2013年新型飞利浦数字血管减影机投入临床使用,神经外一科的脑血管介入治疗水平又有了质的飞跃。目前神经外一科常年开展的脑血管病业务有:脑动脉、颈动脉狭窄支架成形术、脑动静脉畸形栓塞术、脑动脉瘤栓塞术、颈内动脉-海绵窦瘘球囊封堵术、急性脑梗塞动脉溶栓术、急性脑梗塞动脉取栓术。
脑卒中防治知识链接:脑卒中非常凶险,像斯大林、丘吉尔这样的名人就是死于脑卒中。如今脑卒中成为了我国人民群众生命健康的“第一杀手”,引起了我国患者与医生的关注。脑卒中即人们常说的“中风”,是严重威胁人类生命健康的常见病。其特点是突然起病,出现脑部功能受损的症状。病人出现肢体瘫痪、感觉异常、语言障碍甚至昏迷、死亡,其致残率和死亡率都非常高。
脑卒中分为两大类:一是脑血管破裂出血,通常称为“脑溢血”,如高血压脑出血、蛛网膜下腔出血等;另一类为血管闭塞导致脑缺血、脑组织坏死,即通常所说的“脑梗塞”。目前脑梗死是我国最常见的卒中类型,占70%以上。(王和平)