新生宝宝的到来,对于每一个宝妈来说都是最幸福的事。可也有那么一部分宝妈异常揪心:宝宝出生后发现呼吸不畅,面色青紫,被医生告知宝宝患有肺透明膜病。那么,什么是肺透明膜病?
新生儿肺透明膜病(hyaline membrane disease,HMD)又称新生儿呼吸窘迫综合征(neonatal respiratory distress syndrome,NRDS),指出生后不久即出现进行性呼吸困难、青紫、呼气性呻吟、吸气性三凹征和呼吸衰竭。多为早产、刮宫产儿,或有窒息史、孕母有糖尿病、妊娠高血压综合征等, 生后6~12小时内出现进行性呼吸困难。因肺表面活性物质不足导致进行性肺不张。

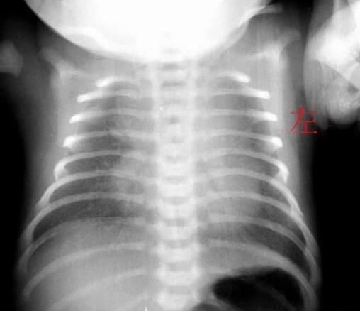
在胸部X线检查中,可以看到新生儿肺透明膜病具有特征性表现,按病情轻重可分四级。
第一级为细粟粒状毛玻璃样阴影,两肺透亮度减低;
第二级除粟粒阴影外可见超出心影的空支气管影;
第三级除上述影像外,心缘与隔缘模糊;
第四级为广泛的白色阴影称"白色肺",其中有黑色的秃叶树枝状空支气管树影由肺门向外周放射伸展至末梢气道,形成"支气管充气征"。用高压氧通入肺内,X线变化可获改善。


一旦确诊新生儿肺透明膜病,其病死率很高,早期应用加压辅助通气者大多可以存活。存活72小时以上者如无严重并发症,患儿常可产生足够的表面活性物质,使病情逐渐好转。并发脑室出血者预后恶劣,所以宝妈们一定要积极配合医院治疗。(放射科 朱春红)