近日,国家卫生健康委公布首批全国罕见病诊疗协作网名单,全国共有324家医院入选。其中,云南省有10家医院入选,我院位列其中,成为协作网成员单位。而近期,我院磁共振室在检查的病人中,发现2例罕见的马德龙病,一起来学习吧。
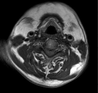
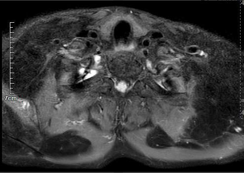
患者刀某,男,49岁,因颈部颈部肿胀一余,以颈部肿物性质待查行颈部MRI检查,有酗酒史;
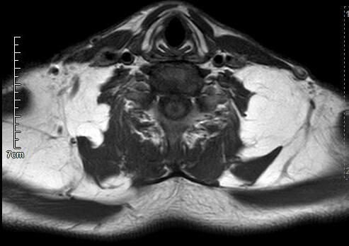
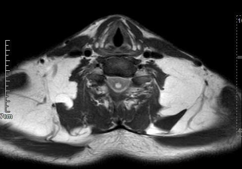
患者李某,男,52岁,因发现颈部包块1年余行颈部MRI检查,有长期饮酒史。
两位患者经过检查并确诊为良性对称性脂肪瘤病,又称马德龙病(Madelung病),现与大家一起来从文献中了解马德龙病。马德龙病(Madelung病),是一种罕见的脂肪代谢障碍引起的脂肪组织弥漫性、对称性沉积于颈肩部皮下间隙的疾病,患者常因颈部畸形、活动受限、压迫气管致呼吸困难而就诊。1888年Madelung第一次总结了33例该病并进行文献报道,因而又被命名为Madelung病。
文献报道,约90%的患者有长期酗酒史,因此长期饮酒是该病的诱因,部分患者同时伴有肝病、高胆固醇血症、高尿酸血症、甲状腺功能减退、高血压等,而这些疾病几乎均与过量饮酒有关,所以常合并诸多内科疾病是该病的另一显著特点。
临床上该病多见于中年男性,最常受累的部位是颈部(83.3%)、背部( 55%)、乳房、腹部皮下( 35%)、上肢( 54.1%) 及下肢( 28%),也可表现为对称性脂肪沉积在舌体、阴囊等少见部位,表现为对称性分布的无痛性脂肪团块,类似肿瘤病变,常导致颈部畸形、活动受限,呈“牛颈”或“驼峰背”样外形,影响生活和容貌,给患者带来极大的心理压力。少数患者由于肿块压迫气管和食道,引起憋气、呼吸困难和吞咽困难,甚至压迫腔静脉,造成静脉回流障碍。

以上患者图片来源于相关文献
马德龙病的影像表现为颈项部等处脂肪组织蓄积增厚,可累及皮下或肌肉间隙,脂肪蓄积处没有包膜形成,蓄积脂肪内可有线状或网状纤维间隔,病变常常左右对称,颈部肌肉可受压、变细,蓄积脂肪组织内可有钙化或骨化。




刀某颈部MRI




李某颈部MRI
临床上该病需要同以下疾病相鉴别:①颈部多发性脂肪瘤;②脂肪肉瘤;③弥漫性甲状腺肿;④神经纤维瘤;⑤血管脂肪瘤;⑥库欣综合征。
治疗方面包括手术治疗和药物保守治疗两方面。
1、手术治疗包括开放性手术切除和脂肪抽吸术。开放性手术切除对于巨大脂肪瘤且有长期酗酒史者,建议术前应戒酒 3~6个月,采用类似改良颈清扫手术方法,保留颈部肌肉和器官,沿颈筋膜彻底切除增生脂肪,避免复发。
2、药物治疗主要适用于无法耐受手术治疗的患者。常用药物如β受体激动剂,可以促进脂肪分解。线粒体鸡尾酒疗法,包括维生素C、维生素E、辅酶Q10和左旋肉毒碱联合应用,可以修复线粒体的功能。
文献指出该疾病手术治疗后有复发倾向,且患者戒酒后该疾病仍呈进行性加重。
(通讯员 陈迪)
近日,国家卫生健康委公布首批全国罕见病诊疗协作网名单,全国共有324家医院入选。其中,云南省有10家医院入选,我院位列其中,成为协作网成员单位。而近期,我院磁共振室在检查的病人中,发现2例罕见的马德龙病,一起来学习吧。
患者刀某,男,49岁,因颈部颈部肿胀一余,以颈部肿物性质待查行颈部MRI检查,有酗酒史;
患者李某,男,52岁,因发现颈部包块1年余行颈部MRI检查,有长期饮酒史。
两位患者经过检查并确诊为良性对称性脂肪瘤病,又称马德龙病(Madelung病),现与大家一起来从文献中了解马德龙病。马德龙病(Madelung病),是一种罕见的脂肪代谢障碍引起的脂肪组织弥漫性、对称性沉积于颈肩部皮下间隙的疾病,患者常因颈部畸形、活动受限、压迫气管致呼吸困难而就诊。1888年Madelung第一次总结了33例该病并进行文献报道,因而又被命名为Madelung病。
文献报道,约90%的患者有长期酗酒史,因此长期饮酒是该病的诱因,部分患者同时伴有肝病、高胆固醇血症、高尿酸血症、甲状腺功能减退、高血压等,而这些疾病几乎均与过量饮酒有关,所以常合并诸多内科疾病是该病的另一显著特点。
临床上该病多见于中年男性,最常受累的部位是颈部(83.3%)、背部( 55%)、乳房、腹部皮下( 35%)、上肢( 54.1%) 及下肢( 28%),也可表现为对称性脂肪沉积在舌体、阴囊等少见部位,表现为对称性分布的无痛性脂肪团块,类似肿瘤病变,常导致颈部畸形、活动受限,呈“牛颈”或“驼峰背”样外形,影响生活和容貌,给患者带来极大的心理压力。少数患者由于肿块压迫气管和食道,引起憋气、呼吸困难和吞咽困难,甚至压迫腔静脉,造成静脉回流障碍。

以上患者图片来源于相关文献
马德龙病的影像表现为颈项部等处脂肪组织蓄积增厚,可累及皮下或肌肉间隙,脂肪蓄积处没有包膜形成,蓄积脂肪内可有线状或网状纤维间隔,病变常常左右对称,颈部肌肉可受压、变细,蓄积脂肪组织内可有钙化或骨化。




刀某颈部MRI




李某颈部MRI
临床上该病需要同以下疾病相鉴别:①颈部多发性脂肪瘤;②脂肪肉瘤;③弥漫性甲状腺肿;④神经纤维瘤;⑤血管脂肪瘤;⑥库欣综合征。
治疗方面包括手术治疗和药物保守治疗两方面。
1、手术治疗包括开放性手术切除和脂肪抽吸术。开放性手术切除对于巨大脂肪瘤且有长期酗酒史者,建议术前应戒酒 3~6个月,采用类似改良颈清扫手术方法,保留颈部肌肉和器官,沿颈筋膜彻底切除增生脂肪,避免复发。
2、药物治疗主要适用于无法耐受手术治疗的患者。常用药物如β受体激动剂,可以促进脂肪分解。线粒体鸡尾酒疗法,包括维生素C、维生素E、辅酶Q10和左旋肉毒碱联合应用,可以修复线粒体的功能。
文献指出该疾病手术治疗后有复发倾向,且患者戒酒后该疾病仍呈进行性加重。
(通讯员 陈迪)