通用头部--玉溪市人民医院
​乳腺健康“黄金搭档”:超声与钼靶,该如何选?
发布时间:2025-09-30

乳腺癌是全球女性中发病率最高的癌症,但幸运的是,早期发现的乳腺癌治愈率远超晚期。在乳腺早期筛查的“武器库”中,乳腺超声和乳腺X线摄影(俗称“钼靶”)是最常用且互补的两种影像学方法。它们像两位默契搭档,各显其能,共同守护您的乳腺健康。

一、钼靶:精于捕捉微小钙化的“光影大师”

钼靶采用低剂量X射线对乳房进行成像,就像为乳房拍摄一张细致的“黑白压扁照片”。压迫乳房不仅可减少辐射剂量、避免组织重叠、提高图像清晰度,还能有效固定乳房,防止移动模糊。

钼靶最大的优势是发现微小的钙化灶。某些特定形态的钙化点是早期乳腺癌(如导管原位癌)的重要表现,甚至可在尚未形成肿块前就被检出——这是钼靶无可替代的核心价值。

适用人群与注意事项:

主要推荐40岁以上普通风险女性作为年度筛查项目。

对脂肪型乳房(腺体少、脂肪多)成像清晰,诊断准确性高。

缺点:压迫乳房可能引起短暂不适;对致密型乳腺(腺体多、脂肪少)显像有限——腺体和癌灶都呈白色,如同“在雪地里找白熊”,容易漏诊。

· 

二、乳腺超声:无辐射的“实地侦探”

它是什么?

超声利用声波反射成像,无辐射,操作时医生手持探头在乳房表面移动,可实时观察内部结构。

它擅长什么?

能优异地区分囊性与实性肿块,囊肿(一般良性)可明确判断;

评估实性肿块的形态、边界、血流等特征,辅助判断良恶性;

穿透力强,尤其适合致密型乳腺,能发现钼靶难以显示的小肿块;

可用于引导穿刺活检,实现精准定位。

适用人群:

致密型乳腺女性:作为钼靶的重要补充;

年轻女性(<40岁):腺体致密且对辐射更敏感,常作为首检方法;

孕妇、哺乳期女性:安全无辐射;

有可触及肿块或其他症状时的初步检查。

三、超声与钼靶:协作优于替代

来看两个例子:

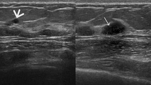
患者A钼靶显示“正常”,但超声发现囊肿和实性结节(如图1、2);

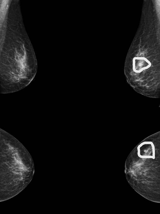
图片1

图1 患者A的钼靶图像,报告显示为正常乳腺

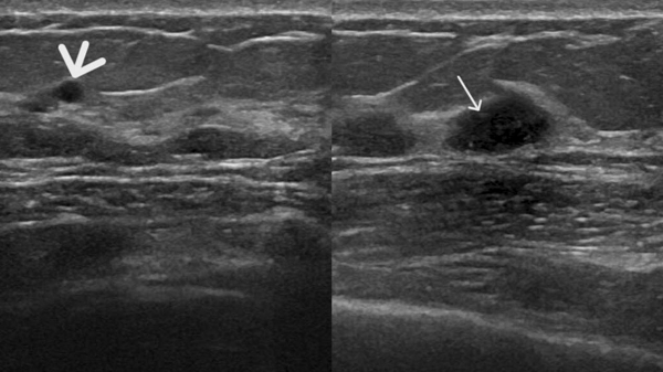
图片2

图2 患者A的超声表现图:(粗箭头处)乳腺囊肿,表现为无回声区;(细箭头处)乳腺实性结节,表现为低回声

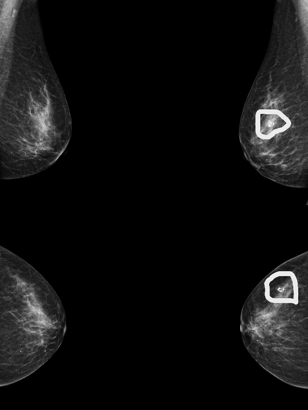
患者B钼靶检出多发钙化灶,超声虽未显示钙化,但发现了钼靶未显示的实性结节(如图3、4)。

图片3

图3 患者B的钼靶图像,显示乳腺多发钙化灶(图中画圈处)

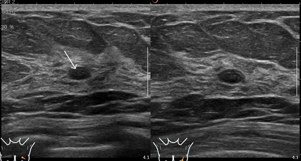
图片4

图4 患者B的超声图像,显示未见钼靶所示钙化灶,但扫查到乳腺实性低回声结节(图中箭头处)

这说明,两者并非竞争关系,而是互补搭档。钼靶擅长捕捉钙化灶,超声善于发现致密腺体中的肿块,尤其对高风险或致密型乳腺女性,联合检查可显著提高早期癌检出率。

四、该如何选择?

没有“唯一最好”的检查,只有“因人制宜”的方案:

普通风险、40岁以上女性:建议每年1次钼靶。若报告提示“致密型乳腺”,应咨询医生是否需要加做超声;

高风险女性(如家族史、BRCA基因突变等):起始筛查年龄应提早,推荐钼靶 + 乳腺磁共振(MRI),超声作为有效补充;

任何年龄女性,如自查发现肿块、乳头溢液、皮肤改变等异常,应立即就医!通常首选无辐射、灵敏度高的超声作为初查。

最后提醒:定期筛查至关重要,但自我检查和临床医生的体格检查同样不可取代。请密切关注自身变化,一旦发现异常,应及时就医——不必等待下一次常规筛查。

超声影像科/黄淼

编辑:王一婷
关闭
通用底部--玉溪市人民医院
​乳腺健康“黄金搭档”:超声与钼靶,该如何选?
发布时间:2025-09-30

乳腺癌是全球女性中发病率最高的癌症,但幸运的是,早期发现的乳腺癌治愈率远超晚期。在乳腺早期筛查的“武器库”中,乳腺超声和乳腺X线摄影(俗称“钼靶”)是最常用且互补的两种影像学方法。它们像两位默契搭档,各显其能,共同守护您的乳腺健康。

一、钼靶:精于捕捉微小钙化的“光影大师”

钼靶采用低剂量X射线对乳房进行成像,就像为乳房拍摄一张细致的“黑白压扁照片”。压迫乳房不仅可减少辐射剂量、避免组织重叠、提高图像清晰度,还能有效固定乳房,防止移动模糊。

钼靶最大的优势是发现微小的钙化灶。某些特定形态的钙化点是早期乳腺癌(如导管原位癌)的重要表现,甚至可在尚未形成肿块前就被检出——这是钼靶无可替代的核心价值。

适用人群与注意事项:

主要推荐40岁以上普通风险女性作为年度筛查项目。

对脂肪型乳房(腺体少、脂肪多)成像清晰,诊断准确性高。

缺点:压迫乳房可能引起短暂不适;对致密型乳腺(腺体多、脂肪少)显像有限——腺体和癌灶都呈白色,如同“在雪地里找白熊”,容易漏诊。

· 

二、乳腺超声:无辐射的“实地侦探”

它是什么?

超声利用声波反射成像,无辐射,操作时医生手持探头在乳房表面移动,可实时观察内部结构。

它擅长什么?

能优异地区分囊性与实性肿块,囊肿(一般良性)可明确判断;

评估实性肿块的形态、边界、血流等特征,辅助判断良恶性;

穿透力强,尤其适合致密型乳腺,能发现钼靶难以显示的小肿块;

可用于引导穿刺活检,实现精准定位。

适用人群:

致密型乳腺女性:作为钼靶的重要补充;

年轻女性(<40岁):腺体致密且对辐射更敏感,常作为首检方法;

孕妇、哺乳期女性:安全无辐射;

有可触及肿块或其他症状时的初步检查。

三、超声与钼靶:协作优于替代

来看两个例子:

患者A钼靶显示“正常”,但超声发现囊肿和实性结节(如图1、2);

图片1

图1 患者A的钼靶图像,报告显示为正常乳腺

图片2

图2 患者A的超声表现图:(粗箭头处)乳腺囊肿,表现为无回声区;(细箭头处)乳腺实性结节,表现为低回声

患者B钼靶检出多发钙化灶,超声虽未显示钙化,但发现了钼靶未显示的实性结节(如图3、4)。

图片3

图3 患者B的钼靶图像,显示乳腺多发钙化灶(图中画圈处)

图片4

图4 患者B的超声图像,显示未见钼靶所示钙化灶,但扫查到乳腺实性低回声结节(图中箭头处)

这说明,两者并非竞争关系,而是互补搭档。钼靶擅长捕捉钙化灶,超声善于发现致密腺体中的肿块,尤其对高风险或致密型乳腺女性,联合检查可显著提高早期癌检出率。

四、该如何选择?

没有“唯一最好”的检查,只有“因人制宜”的方案:

普通风险、40岁以上女性:建议每年1次钼靶。若报告提示“致密型乳腺”,应咨询医生是否需要加做超声;

高风险女性(如家族史、BRCA基因突变等):起始筛查年龄应提早,推荐钼靶 + 乳腺磁共振(MRI),超声作为有效补充;

任何年龄女性,如自查发现肿块、乳头溢液、皮肤改变等异常,应立即就医!通常首选无辐射、灵敏度高的超声作为初查。

最后提醒:定期筛查至关重要,但自我检查和临床医生的体格检查同样不可取代。请密切关注自身变化,一旦发现异常,应及时就医——不必等待下一次常规筛查。

超声影像科/黄淼