通用头部--玉溪市人民医院
​脑卒中术后“辨影”难题?双源CT双能量扫描一招破解!
发布时间:2026-04-17

急性缺血性脑卒中是我国脑卒中发病的主要类型之一,占新发卒中病例的近七成。对于大血管闭塞所致的急性缺血性卒中,血管内取栓术是目前最核心、最有效的治疗手段,能够显著改善患者预后。

然而,术后影像学评估常常面临一个棘手的“辨影”难题:颅内高密度影非常常见,这些高密度影可能来自两种截然不同的病理改变——对比剂外渗或术后出血。常规CT扫描难以快速、准确地区分碘对比剂与血液成分,容易导致误判,从而延误后续抗凝、止血或再灌注治疗的最佳时机。

双能量CT:一次扫描,破解“真假出血”

双源CT双能量扫描技术,利用不同物质在不同能量X射线下的衰减特性差异,通过一次扫描即可获得多组功能图像,精准拆解“碘”与“血”的混淆信息。

主要生成三类关键图像:

融合图:相当于常规CT图像,用于整体解剖结构观察。

虚拟平扫图:剔除碘对比剂的干扰,清晰地显示真实出血或钙化等高密度灶。

碘叠加图:高亮显示碘分布区域,直观判断是否存在对比剂外渗。

通过虚拟平扫图与碘叠加图的比对,医生可以快速得出结论:如果高密度区域在虚拟平扫图上仍然存在,则为出血;如果在虚拟平扫图上消失,而在碘叠加图上显现,则为对比剂外渗。

临床价值:抢占救治时机,筑牢安全防线

相比传统“复查等待”策略——需要反复行CT平扫或MRI来动态观察密度变化,双能量CT实现了“即时鉴别”,优势明显:

快速准确:一次扫描完成鉴别,诊断时间从数小时缩短至几分钟。

避免反复检查:减少患者辐射剂量及转运风险,尤其适用于危重患者。

指导精准治疗:明确诊断后,出血者启动止血、逆转抗凝方案;对比剂外渗者则可按计划继续抗血小板或抗凝治疗,避免延误。

病例展示

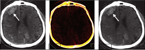
病例一:右侧额叶、双侧枕叶脑出血

图片1

(图像:虚拟平扫图显示高密度灶持续存在,碘叠加图未见碘染——证实为脑实质出血)

病例二:右侧基底节区造影剂外渗

图片2

(图像:虚拟平扫图高密度灶消失,碘叠加图显示明显碘聚集——证实为单纯对比剂外渗,无出血)

结语

急性缺血性脑卒中取栓术后,颅内高密度影不可一概而论。双源CT双能量扫描凭借其物质分离的独特能力,让“辨影”不再困难。这项技术不仅为临床决策提供了可靠的影像学依据,更为患者赢得了宝贵的救治时间,是术后安全评估的“利器”。

医学影像部/江少青 蒲晓燕

关闭
通用底部--玉溪市人民医院
​脑卒中术后“辨影”难题?双源CT双能量扫描一招破解!
发布时间:2026-04-17

急性缺血性脑卒中是我国脑卒中发病的主要类型之一,占新发卒中病例的近七成。对于大血管闭塞所致的急性缺血性卒中,血管内取栓术是目前最核心、最有效的治疗手段,能够显著改善患者预后。

然而,术后影像学评估常常面临一个棘手的“辨影”难题:颅内高密度影非常常见,这些高密度影可能来自两种截然不同的病理改变——对比剂外渗或术后出血。常规CT扫描难以快速、准确地区分碘对比剂与血液成分,容易导致误判,从而延误后续抗凝、止血或再灌注治疗的最佳时机。

双能量CT:一次扫描,破解“真假出血”

双源CT双能量扫描技术,利用不同物质在不同能量X射线下的衰减特性差异,通过一次扫描即可获得多组功能图像,精准拆解“碘”与“血”的混淆信息。

主要生成三类关键图像:

融合图:相当于常规CT图像,用于整体解剖结构观察。

虚拟平扫图:剔除碘对比剂的干扰,清晰地显示真实出血或钙化等高密度灶。

碘叠加图:高亮显示碘分布区域,直观判断是否存在对比剂外渗。

通过虚拟平扫图与碘叠加图的比对,医生可以快速得出结论:如果高密度区域在虚拟平扫图上仍然存在,则为出血;如果在虚拟平扫图上消失,而在碘叠加图上显现,则为对比剂外渗。

临床价值:抢占救治时机,筑牢安全防线

相比传统“复查等待”策略——需要反复行CT平扫或MRI来动态观察密度变化,双能量CT实现了“即时鉴别”,优势明显:

快速准确:一次扫描完成鉴别,诊断时间从数小时缩短至几分钟。

避免反复检查:减少患者辐射剂量及转运风险,尤其适用于危重患者。

指导精准治疗:明确诊断后,出血者启动止血、逆转抗凝方案;对比剂外渗者则可按计划继续抗血小板或抗凝治疗,避免延误。

病例展示

病例一:右侧额叶、双侧枕叶脑出血

图片1

(图像:虚拟平扫图显示高密度灶持续存在,碘叠加图未见碘染——证实为脑实质出血)

病例二:右侧基底节区造影剂外渗

图片2

(图像:虚拟平扫图高密度灶消失,碘叠加图显示明显碘聚集——证实为单纯对比剂外渗,无出血)

结语

急性缺血性脑卒中取栓术后,颅内高密度影不可一概而论。双源CT双能量扫描凭借其物质分离的独特能力,让“辨影”不再困难。这项技术不仅为临床决策提供了可靠的影像学依据,更为患者赢得了宝贵的救治时间,是术后安全评估的“利器”。

医学影像部/江少青 蒲晓燕